gsd petra

Useful Information

The articles below are for reference only, if you have any concerns about your dogs health and well being please consult your vet.

Going on Holiday?

Helpful Advice for Going on Holiday with your Pet

Dog Nutrition Pyramid

Gastric Torsion and Bloat

bloat_torsion
Few ailments kill an otherwise healthy dog as quickly as Bloat and Stomach Torsion.
Hopefully this article will help you recognise the symptoms quickly and maybe save your dogs life.

GSD Colour Chart

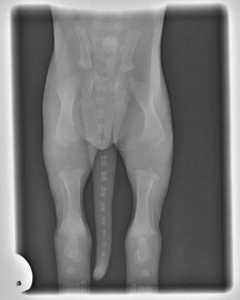
Hip Dysplasia

healthy_hips
X-ray of healthy hip joints.
Large breed dogs, particularly German Shepherds, are susceptible to Canine Hip Dysplasia.

NutraCalm for Dogs

Do fireworks Stress Your Pet?

 

Pet CPR

Puppy X-ray

Do not over exercise your pup.